TECNICA
Ruolo della bioingegneria tissutale nella riabilitazione funzionale ed estetica in pazienti operati per cancro orale.
TRATTAMENTO DEL CANCRO ORALE
Ad oggi la chirurgia rimane il gold standard
CASO CLINICO
- Nel giugno 2004 diagnosi di Ca squamoso guancia sinistra.
- Nel gennaio 2005 Ca squamoso gengiva sinistra.
- Nel 2007 recidiva gengiva sinistra.

LA STRATEGIA CHIRURGICA
Buccofaringectomia con asportazione di tassello emimandibola sx piu’ linfoadenectomia (pT4 pN0) in associazione con radioterapia.

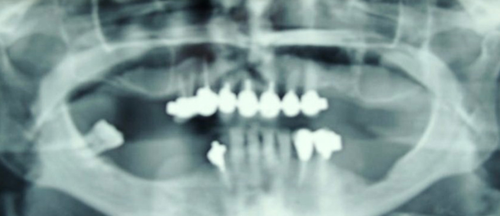
GLI ESITI
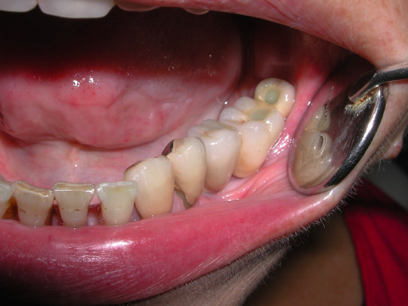
APPLICAZIONE
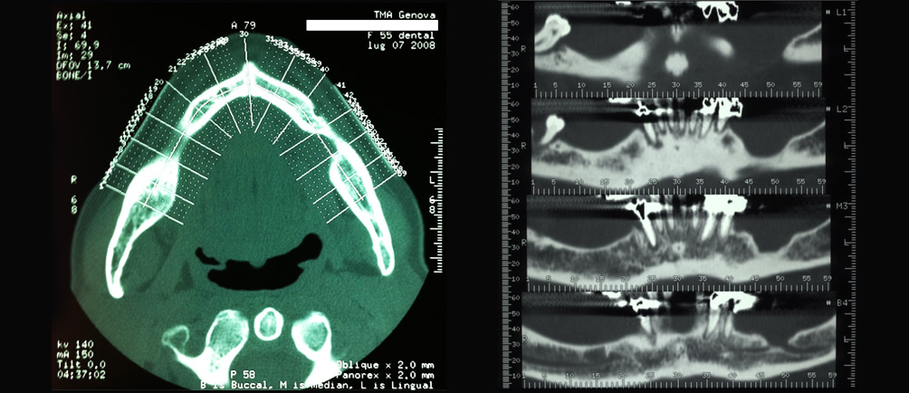
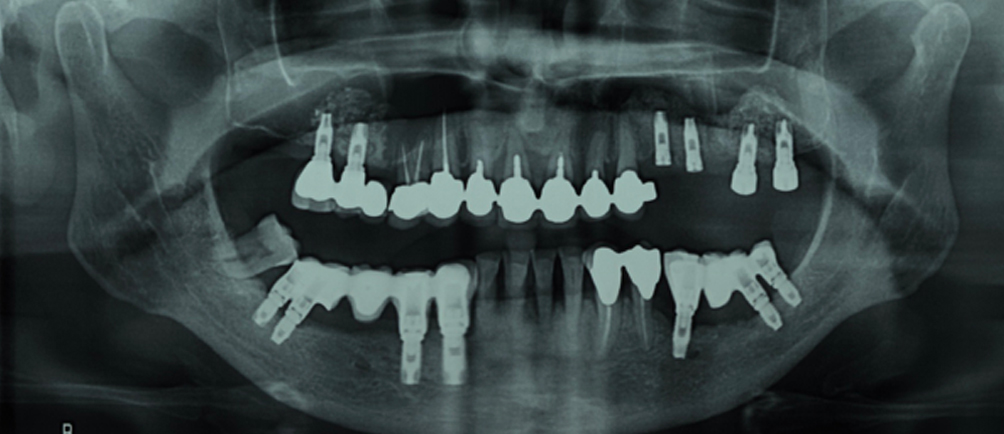
RISULTATI
Rigenerazione ossea del pavimento del seno mascellare con incremento verticale di 12 mm ed orizzontale di 10 mm
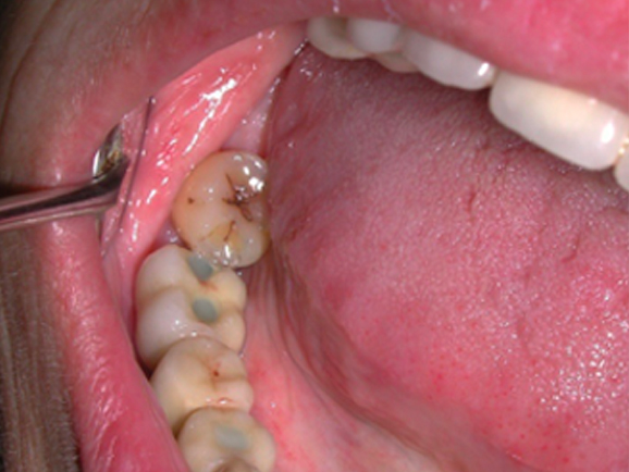
Risultati estetici e funzionali conseguiti con la CHIRURGIA RIGENERATIVA
VUOI RICEVERE MAGGIORI INFORMAZIONI?
Contattaci
Compila il form sottostante e ti risponderemo nel più breve tempo possibile











